Porcelain Crowns
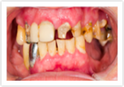
Applied Procedures: Porcelain Crowns
P40683_ss12263bs_t P40683_ss12263ys_t
Before Photo After Photo
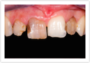
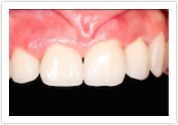
Applied Procedures: Porcelain Crowns
P40683_ss12264bs_t P40683_ss12264ys_t
Before Photo After Photo
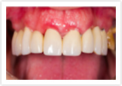
Applied Procedures: Porcelain Crowns, Dental Bridges
P40683_ss12265bs_t P40683_ss12265ys_t
Before Photo After Photo
Appointment request
Need an appointment with a dentist in Drexel Hill ? Requesting an appointment at our Drexel Hill, PA family and cosmetic dental office is now easier than ever. Fill out the form below and we'll contact you to find a time that fits your schedule. Start your journey towards a beautiful smile with us today!
Patient Name*
Phone Number*
Email Address
Are you a current patient?
Best time(s) to call?
Preferred Appt Date
Preferred Appt Time
Message
Describe the nature of your appointment or any other comments